Journée traumatologie – Conférenciers
Prof. Dr. Gabriel Krastl
CV
Gabriel Krastl received his degree in dentistry from the University of Tübingen, Germany in 1998 and has been a staff member and research associate until 2005. From 2005 to 2014 he was a senior research associate at the Clinic of Periodontology, Endodontology and Cariology in Basel, Switzerland. 2006 he co-founded the interdisciplinary Center of Dental Traumatology at the Basel University. Since 2014 Gabriel Krastl is Professor and Chair of the Department of Conservative Dentistry and Periodontology at the University Hospital of Würzburg, Germany and directs the Center of Dental Traumatology which he founded in 2015.

Dental Trauma: From Biological Principles to Aesthetic Rehabilitation
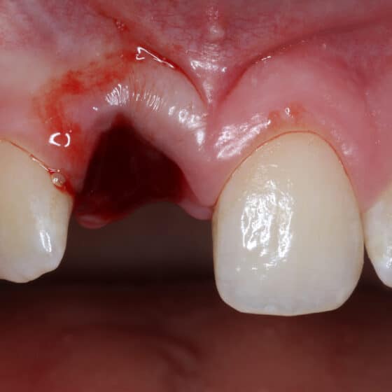
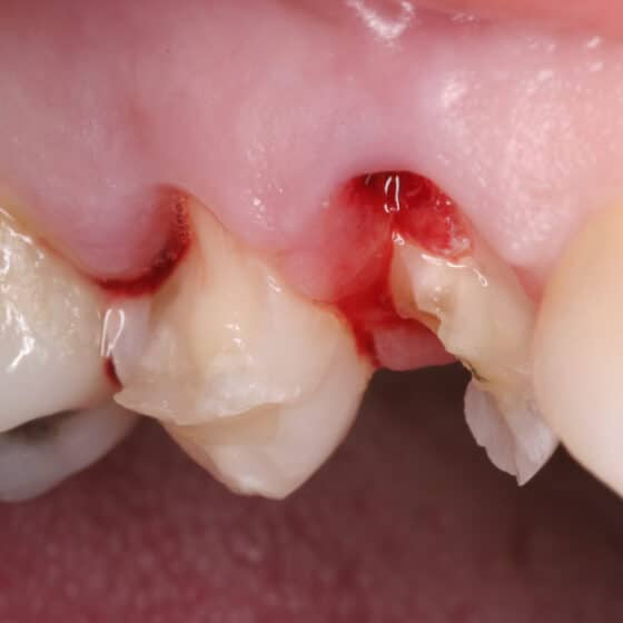
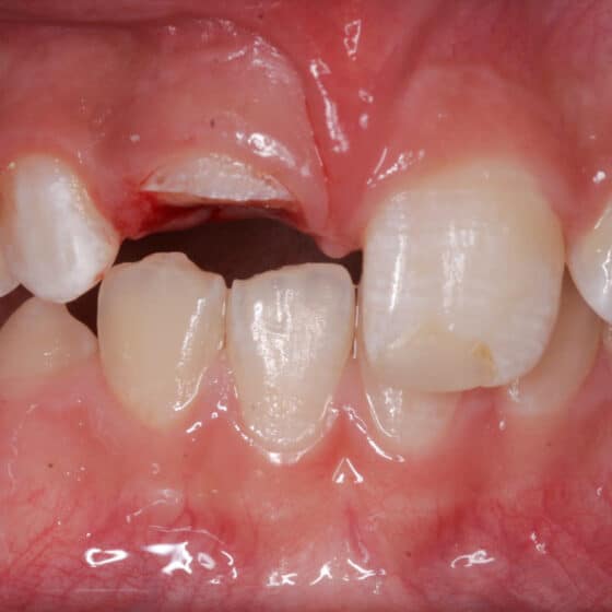
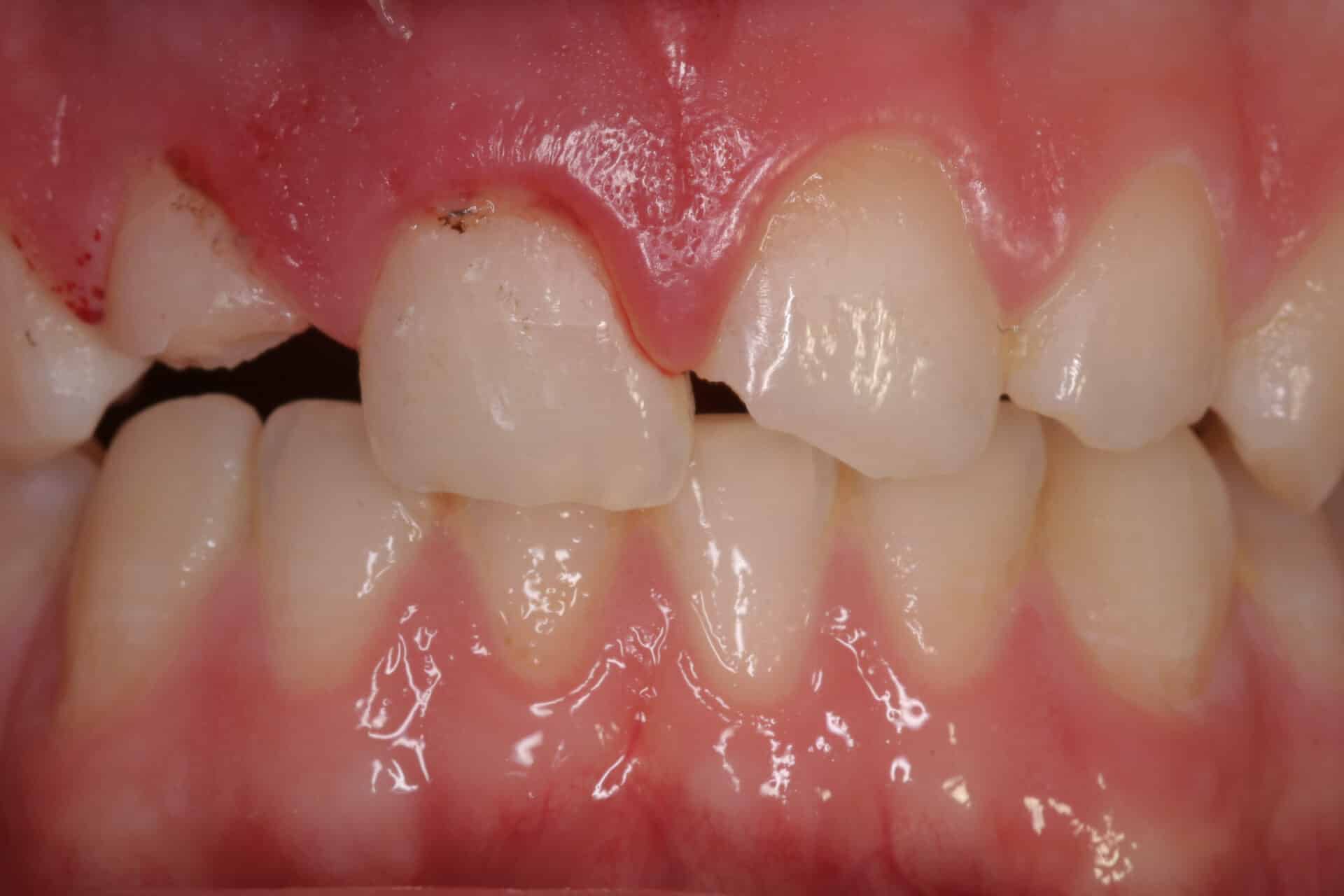
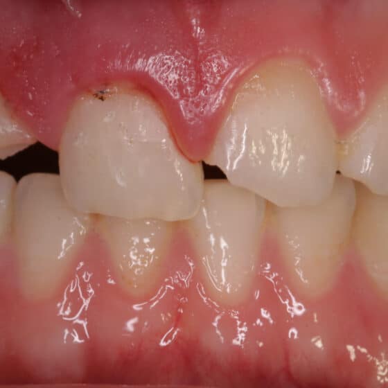
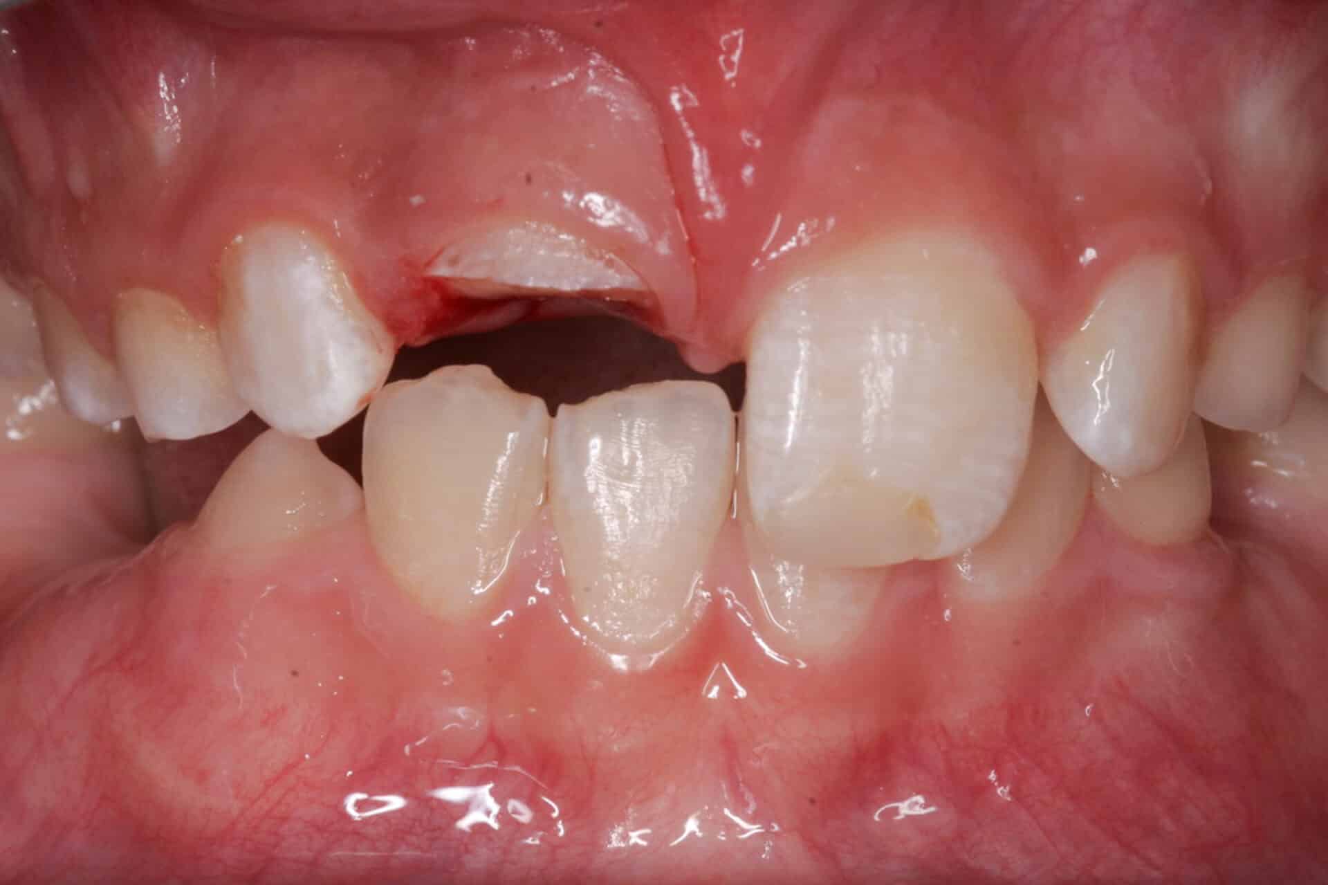
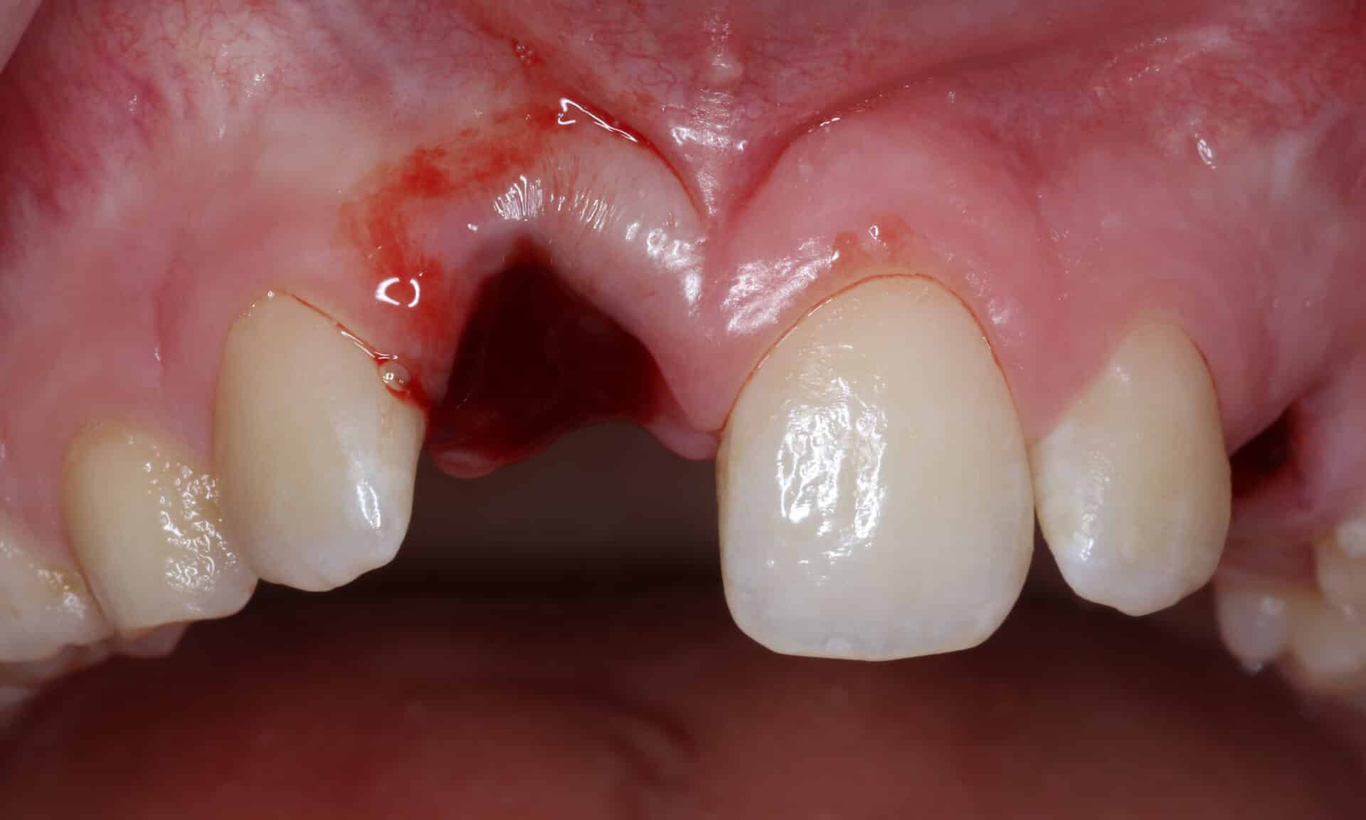
Dental trauma is always a challenge—for both the patient and the dentist. Decisions made within minutes can shape biology, function, and aesthetics for a lifetime. Most traumatic dental injuries occur in children and adolescents, where adult treatment concepts, such as implant therapy, are not an option. As a result, the preservation of even severely compromised teeth is not a choice, but a necessity. This lecture places biological principles at the core of trauma management, addressing key mechanisms of pulp and periodontal healing, root resorption, and ankylosis, and highlighting the decisive impact of early emergency care. While international guidelines provide an essential framework, clinical reality is often more complex. The lecture is therefore strongly case-driven, presenting numerous real-world examples, including challenging situations in which guideline-based recommendations reach their limits and individualized decision-making is required. Restorative rehabilitation is discussed with a focus on minimally invasive, biologically sound, and highly aesthetic solutions, providing practical strategies for everyday clinical decision-making.







